WISDOM TEETH

You either want your wisdom teeth all the way in or all the way out. If they erupt only partially, there's a risk of getting a cavity or a gum infection because food and plaque can get trapped where you can't properly clean. 

 

Wisdom teeth are best evaluated between the ages of 15-17. 

If it's obvious that there's no room for them, having them out younger tends to be a little easier because the roots aren't as long.  However, it also helps when they're closer to the surface;  a good rule of thumb is they're ready when the roots are 1/3 to 1/2 formed.
As long as the wisdom teeth aren't causing any discomfort and aren't too close to the nerve in the jaw, you generally have a window between ages 15-19 where there isn't a significant difference between when you chose to have them out.  

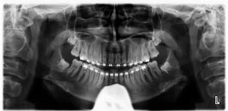
Below is an x-ray of a 16 year-old with roots about 1/3rd formed.  This is a great time to get them evaluated by an oral surgeon.
 

Does everyone absolutely have to have their wisdom teeth out?  
 
No.
If you have space so that your wisdom teeth might erupt all the way in, I'd just monitor them and see if you can keep them clean.  Careful brushing around the wisdom teeth as they erupt and rinsing with a gentle over-the-counter gum medicine like Peroxyl can help reduce the risk of cavities or infection while they erupt.

Below is an x-ray of a 15 year-old whose wisdom teeth look to be erupting vertical and who might have space.  My advice to her was to wait and see.

If I don't get my wisdom teeth out, will it make my lower teeth crowd when I'm older?  
 
Not necessarily.
As we age, our lower front teeth naturally continue to move forward and up.  It's a slow process, but the normal tendency is for them to become more crowded anyway.
There are patients with no wisdom teeth who still get relapse crowding of their lower front teeth.  And, there are patients with completely horizontal wisdom teeth who have perfectly straight teeth.

Relapse crowding could be a separate blog post all on its own.  

But to sum up:

1)  Relapse crowding are the severity of your original crowding, how it was treated, and how was it retained.  If you try to fit too many teeth into a jaw that's too small, you have a higher risk of relapse.  Extraction treatment creates space, so it tends to lessen this tendency.  
2)  After treatment, the type of retainer and consistently its worn play a huge role.  Bonded wires are the most stable, metal wires + hard acrylic are next, and the cheap plastic tray-style are the least effective.  
3)  The longer you keep and wear your retainers, the more stable your lower front teeth tend to be.
4)  As a distant fourth, wisdom teeth _might_ contribute to crowding, but the effects are nearly impossible to measure and are far less significant than #'s 1-3.